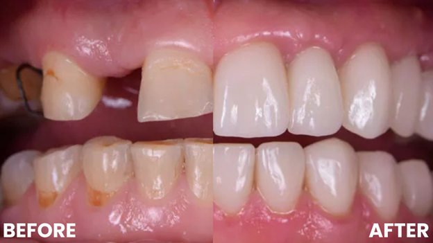
If missing or damaged teeth make you hide your smile or avoid the foods you love, dental implants may be a good option for you. Dental implants can help restore your confidence, comfort, and health. Below is a guide answering common questions about dental implant procedures, featuring insights from our team at Crestline Dental Implant Center in Onalaska, WI.
1. What are dental implants?
Dental implants are small, biocompatible titanium posts that serve as artificial tooth roots. Each post is topped with an abutment and custom-made restoration (crown, bridge, or full-arch prosthesis) that looks and functions like a natural tooth. Because implants are anchored in the jawbone, they also stimulate bone and help prevent future bone loss, unlike traditional dentures or bridges.
2. Why implants are the gold standard
- Preserve bone: Implants maintain jawbone density by transferring natural chewing forces into the bone.
- Long-lasting results: With proper care, implants can last for decades, far longer than traditional bridges.
- Secure and stable: No slipping or irritation like with removable dentures.
- Versatile solutions: Replace a single tooth or an entire arch with full-arch options like All-on-4 or All-on-X.
| Phase | What Happens | Typical Timeline* |
| Consultation | 3D imaging, digital X-rays, and medical history review. You’ll receive a personalized treatment plan and all-inclusive fee estimate. | 1 visit |
| Preparatory care | Tooth extractions, bone grafting, or sinus lift if needed to prepare the site. | Same day to several months |
| Guided implant surgery | Using advanced guided technology, implants are placed with precision. IV or oral sedation is available for a comfortable experience. | 1–2 hours |
| Same-day teeth | Temporary teeth are placed so you can leave with a functional, natural-looking smile. | Day of surgery |
| Healing phase | Implants fuse with the jawbone (osseointegration) to form a stable foundation. | 3–4 months |
| Final restoration | Your custom crown, bridge, or full-arch prosthesis is placed—completing your transformation. | 1 visit |
* Timelines may vary based on individual healing and treatment needs.
4. What sets Crestline apart
At Crestline Dental Implant Center, advanced technology meets compassionate care. Dr. Leslee Timm and his team use 3D digital imaging, fully guided surgical templates, in-house lab support, and years of clinical expertise to deliver high-precision results with minimal downtime.
5. What to expect on surgery day
- Comfort comes first: Sedation options include local anesthesia, oral sedation, and IV sedation to ensure a stress-free visit.
- Same-day results: With immediate-load protocols, you leave with a functional and beautiful smile.
- Quick recovery: Most patients return to normal activities within 1–2 days.
6. Recovery and aftercare
- Diet: Stick to soft foods like yogurt, scrambled eggs, and soups for the first week.
- Oral hygiene: Gently brush with a soft toothbrush twice a day; avoid electric brushes near the surgical site for two weeks.
- Rinse: Use warm saltwater rinses after meals (½ tsp salt in 8 oz water) for the first week.
- Avoid smoking: Nicotine can slow healing and increase the risk of implant failure.
Once healed, care for your implants like natural teeth—daily flossing, twice-yearly cleanings, and nightguard use if you clench or grind.
7. Cost and financing options
Dental implants are a long-term investment in your health, function, and confidence. Crestline offers transparent, all-inclusive pricing and works with trusted third-party financing partners to provide affordable monthly payment options. Visit our page on affordable financing to explore your options.
8. Who qualifies for dental implants?
Most adults are candidates for dental implants, including those who:
- Have healthy gums and adequate bone (or are open to bone grafting)
- Manage chronic conditions (like diabetes or osteoporosis) under medical supervision
- Are committed to excellent oral hygiene and regular dental visits
Even patients with significant bone loss may qualify for alternative options like zygomatic implants, which anchor into the cheekbone.
9. Frequently asked questions
Does the procedure hurt?
Most patients report mild discomfort after surgery, often less than after a tooth extraction. Sedation and modern pain control make the procedure comfortable and stress-free.
How long do implants last?
Implants have a 95%+ success rate after 10 years. The titanium post can last a lifetime with good care; the crown may need replacement after 15–20 years.
Can I get a full set of teeth in one day?
Yes, full-arch treatments like All-on-4 use four to six implants to support a full bridge, often delivered the same day as surgery.
10. Ready to restore your smile?
Dental implants are a life-changing solution that restore appearance, confidence, and chewing ability in just a few months. Crestline’s guided technology, same-day options, and compassionate approach make it easier than ever to start your journey.
Schedule your free consultation today to find out if you’re a good candidate, and take the first step toward a healthier, more confident you.

